
今天9奌前收到电信短信消费通知:最新年8月份消费167元5角,除掉145元套餐和固话用,另外超支22元五毛钱;而7月份超支流量费90元,8月份比7月份节省了流量费靠近68元…
因为我从6月初开始玩化隆巷,后来在女儿的带领下玩起了头条极速板,当初也不懂看广告看视屏要付流量费,所以不管在家里还是走在路上都抓紧时间在头条开宝箱,…谁知道8月初收到电信通知,费用那么多,而收入只有101元,收入仅仅盈利10元…
后来在家人的指责下,在外面一律不
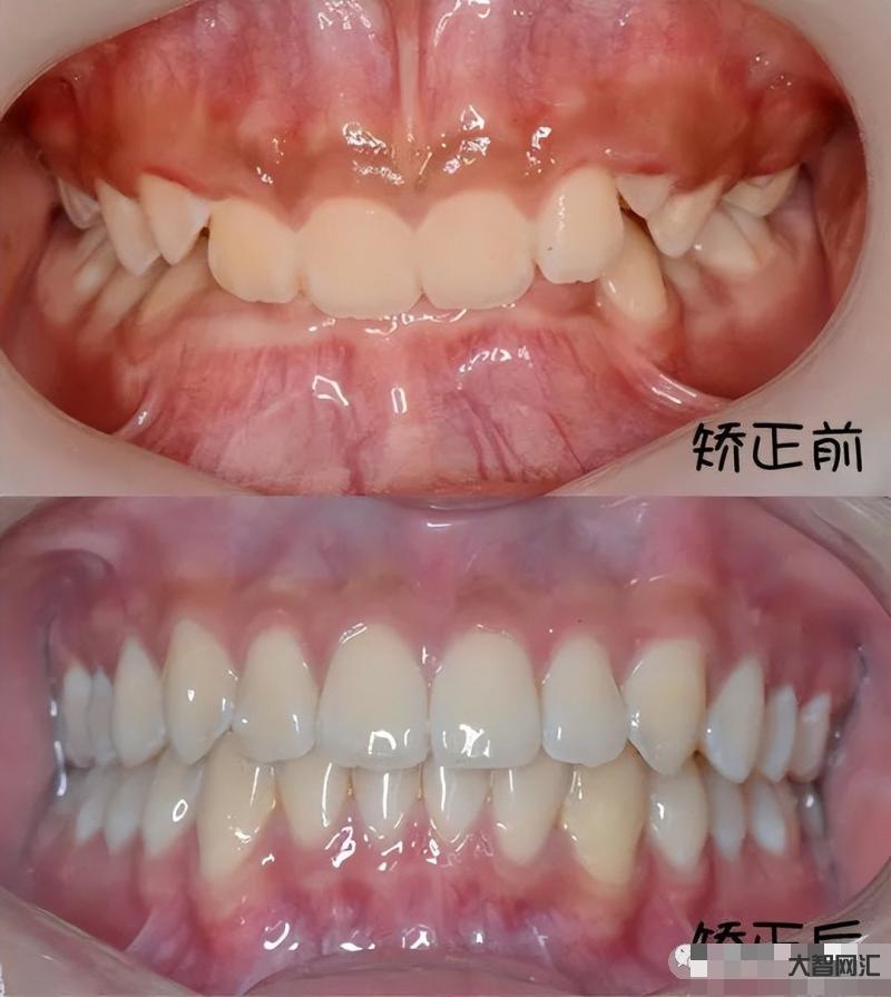
小胡同学是个高大帅气的大男孩,十四五岁的年纪已经是1米76的大个子,身上那股年轻人的活力让人忍不住感慨一下年轻真好。可是,明明处在爱玩爱闹的年纪,却偏偏不爱笑,难道要学人家耍酷?

当然不是啦,还不是因为那一口歪七扭八难看的牙齿,张嘴一笑,形象全毁。看看这孩子明明开心的想笑,却又绷住嘴不露齿的可怜样子,真是让人又好气又好笑。

小胡同学来到了西安市中心医院口腔科,想要做牙齿矫正,可是他的内心是抗拒的,因为害怕被人叫做“钢牙弟”。看看身边那些做牙齿矫正的人吧,一张嘴露出一口的钢丝托槽,估计“牙套妹”、“钢牙弟”的称号是免不了的。
年轻人正是最爱面子的年龄,最是害怕被人取个难听的绰号,搞不好还要被叫上一辈子。

小胡同学不开心了,虽然已经很帅了,可是谁会介意自己变得更帅呢?有没有不戴钢牙也能偷偷变帅的秘法呢?当然有!

口腔科正畸室的苗朝旭医生接待了他,根据他的情况,为他选择了隐形矫正。不用粘托槽,不用捆钢丝,只需要佩戴一副透明的塑料牙套并按时更换,就可以慢慢的移动牙齿的位置,让你在不知不觉间偷偷变帅。

看看小胡同学阳光般的笑容,这才是少年人该有的风貌!

隐形矫正这么神奇的吗?快让我们一起了解一下。

隐形牙齿矫正与传统矫正相比,完全像是两个世界的产物,它依靠的是由数千万人的牙齿信息组成的庞大数据库。


当你的牙齿信息通过网络被上传到数据中心时,专业人员会通过计算机依托大数据进行分析计算,并制定出符合你的专属矫正计划,牙齿每一步的移动距离和方向都安排的妥妥的。
你甚至在开始矫正之初就已经能够知道自己大概需要矫正的周期,并且看到自己牙齿矫正结束后的样子。

计算机会为每一步矫正制作一副透明的牙套,你只需要按部就班的佩戴这种透明牙套,并按时复诊更换新的牙套即可完成牙齿矫正。

传统的托槽矫正不但影响美观,托槽的存在还使你不敢畅快的进食,以免托槽脱落;众多狭小的间隙也不利于牙齿清洁,常有牙龈发炎和继发龋坏发生;钢丝扎嘴、口腔溃疡更是常有的事。

隐形牙齿矫正器避免了传统托槽矫正能看到“钢牙”的缺点,透明的牙套近乎隐形,提升了矫正期的美观性;牙套可以自行取戴,不但不影响你对美食的追求。
还能够像平时一样刷牙和清洁口腔,维护良好的口腔健康;更换牙套的方式节约了每次复诊的时间,而且你还可以看到每一步的治疗预期,轻松了解治疗进程。

这么好的牙齿矫正方法是不是心动了呢?想要偷偷变帅吗?想要在不知不觉间惊呆所有人吗?快来我们中心医院口腔科找正畸医生聊聊吧?偷偷变帅的秘法我只偷偷的交给你一个人了,记得阅后即焚别让其他人知道了哦!
玩头条,仅仅在家里玩,而且8月份玩的时间远远超过7月份的时间,费用反而节省了75元,盈利超过100元了…























