
龋齿的拼音是[q ch]。
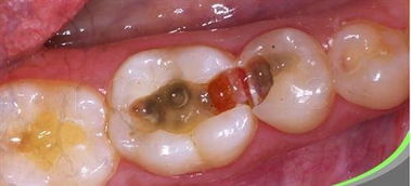
龋病(dental caries,tooth decay)是在以细菌为主的多种因素影响下,牙体硬组织发生慢性进行性破坏的一种疾病。
遭龋病破坏的牙齿即龋齿,可以累及各个牙齿、各个年龄和各种人群。
龋的疾病过程涉及。
龋齿拼音

龋齿,龋齿的拼音怎么写?
“龋齿”读音是什么?
拼音:q ch 结构:龋(左右结构) 齿(上下结构)解释:指女子故意做作的状若齿痛的笑容 近义词:蛀牙 词语造句:1、近年来,应用窝沟封闭剂涂擦于儿童的牙齿表面,容易封闭发生龋坏的窝沟、点隙等部位,起到了很好的预。
读音:q ch 释义:1.蛀齿。
牙齿发生腐蚀性病变。
2.牙齿外露。
近义词:蛀牙 造句:一、食毕当漱口数过,不尔使人病龋齿。
二、坚持早晚刷牙不间断,防止龋齿少吃甜食物,勿咬食硬物坚果啃骨头,睡前不吃夜宵另杂食,。
龋齿读作q ch。
龋的声母是q,韵母是u,声调是三声;齿的声母是ch,韵母是i,声调是三声。
龋齿俗称虫牙、蛀牙,是细菌性疾病,因此它可以继发牙髓炎和根尖周炎,甚至能引起牙槽骨和颌骨炎症。
如不及时治疗,病变继续。

1、龋齿拼音: qch。
(1)病,由于口腔不清洁,食物残渣在牙缝中发酵,产生酸类,破坏牙齿的釉质,形成空洞,有牙疼、齿龈肿胀等症状。
(2)患这种病的牙,也叫蛀齿,俗称虫牙或虫吃牙。
2、龋齿是什么 龋齿是一种由。





















